先说下疟疾,大家都知道,疟疾在热带地区,比如非洲等传播很广,是非常凶险的传染病。
屠呦呦的历史贡献
来源:管理员 | 上传者: 中华朱氏网 | 2021/06/09|浏览量:1031

请再一次记住她的名字 —— 屠呦呦。
今天,两张图震惊了全世界!

中国首位诺贝尔生理学和医学奖得主,屠呦呦率领的团队,骄傲地向全世界宣布,新一代的青蒿素抗疟组合再次战胜了已经产生耐药性的疟原虫!
同时,利用青蒿素治疗“红斑狼疮”也取得了突破性的成果!这种被称为不是“绝症的绝症”,困扰了很多人一辈子,让很多人生不如死的一(下图不适预警)

这位与爱因斯坦、居里夫人、艾伦.图灵齐名,20世纪最伟大的科学家,89岁高龄的神仙奶奶,又一次挽救了无数人的生命!

国际顶级医学权威期刊《新英格兰医学杂志(NEJM)》近期刊载了屠呦呦团队该项重大研究成果和“青蒿素抗药性”治疗应对方案,引发业内强烈关注。
这两个成果中,其中任何一个都足以震惊世界。今天,两项科研成果同时发布,只能说,作为20世纪最伟大的科学家,屠呦呦,名至实归!
今天,“屠呦呦”三个字,占据了各大网站的热搜。有人说:“这才是热搜应该有的模样”!
今天,我们再次给孩子们讲述屠呦呦的故事,告诉他们,这才是你们该去追的明星。
01.可怕的疟疾
先说下疟疾,大家都知道,疟疾在热带地区,比如非洲等传播很广,是非常凶险的传染病。

传播途径也很简单,就是蚊子,蚊子把疟原虫带入到人体内,继而产生疟疾。
如果带的是恶性疟原虫,这个事情就非常的麻烦,被感染的人会全身发冷、发热、多汗,长期多次发作后,可引起贫血和脾肿大,民间俗称的打摆子就是这个。(汉明思考:蚊子可以携带病原体,为什么蚊子不被感染呢?要从研究蚊子入手)

一旦在脑部发展会形成脑疟疾,这个事情非常的麻烦,甚至可能引发脑死亡等严重的症状。

现在全世界都没有一些很好的方法去根治,最常见的预防方法只有杀灭蚊子和蚊子的幼虫。这是百年前,1912年巴拿马运河流域工作者在杀灭蚊子。蚊子杀了100多年还是没能彻底消灭疟疾的传染。可以想象这个病多可怕。

疟疾的历史太长了,可考证的就有上千年。我们出土的3500年前的殷商甲骨文中就有对疟疾的记载。

我们著名的康熙大帝就曾经得过这个病差点送命。

当年越南战争中,这个疟疾不知道夺去了多少条人命。

当时的科学筛选了21.4万种化合物都没对疟疾有用,一时间疟疾成为了当时世界头号传染病。

那个时候怎么治的呢?一直到1820年,才发现一种药物,叫做金鸡纳霜。是法国药学家皮埃尔从金鸡纳树皮中发现的。

就是后来的奎宁。这个药不知道救了多少的疟疾患者。

而另外一位君王,埃及最“网红”的法老图坦卡蒙据说也是死于疟疾,他可能没那么好运,没有金鸡纳霜的帮忙,疟疾在当时几乎是绝症。

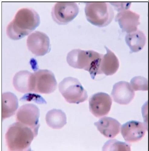
然而,这个疟原虫极其狡猾,给大家看看它在人体内攻击红细胞的感染过程。
02
而随着耐药性的增加和各类新发生的疟疾情况,奎宁也渐渐不是那么有效,这个时候,屠呦呦站出来了。

她在当时,全靠着个人的走访,就整理出一本有关疟疾治疗的方剂小册子,发给全国的研究者参考。

这些都是她一字一句写出来的,整整640个方子。

事实上,这类的方剂手册对后期的研究起到了非常大的作用。
其中就包括了后期大家熟知的疟疾救命药:青蒿!

青蒿的取非常艰难。根据同事们的回忆,当时做了很多很多的药物,很多药物在动物身上有效,到了人身上就不行,比如提取了辣椒、胡椒、明矾等常见物品。

事实上即使是当初筛选青蒿,也仅仅只有68%的有效率,远远达不到普遍治疗的效果。疟疾作为一种非常古老的疾病,东晋时期很多医生还专门对这个病进行论述。“拿一把青蒿绞成汁能治疗疟疾。”

当然,老祖宗们不可能具体去分析到底什么原理,只知道青蒿能治疗疟疾。所采取的方式也是比较原始。

但这给了屠呦呦很大的灵感,因为这个“原始”的方式恰恰显示出老祖宗们的智慧!大家有没有发现,这个青蒿的用法,老祖宗们是“绞汁”服用,而不是我们常见的中药煎煮。

屠呦呦忽然意识到问题,为何她做青蒿只有68%的有效率?因为她也是按照传统思路去水煎或者乙醇浸泡,是不是就是这步出了问题?反而把青蒿的有效成分破坏了?高温才是最忌讳的?
在此之前,屠呦呦已经筛选了200多种中药,无一成功。事后屠呦呦回忆到这个老祖宗的智慧的时候认为的确有道理,在传统水煎中药一统天下的时候为何老祖宗们偏偏对青蒿就是不煮?而是榨汁来喝?


但是科学实验不是那么简单,青蒿浑身其实分为很多部分,叶子、杆、根,到底哪个部分有用?
而且不同的制备方法对于做出的东西也是不一样的,于是她就不断反复尝试。我们现在都知道青蒿素是她做出来的,但是没多少人知道,即使青蒿本身的提取也是经过极其漫长的过程。

一直到1971年10月,青蒿提取物第191号样品(同样的青蒿提取物前面已经做了100多个样品都没成功)出现了对疟疾100%的抑制率!她非常高兴,猴子身上动物实验也是100%,我们都知道青蒿素是屠奶奶的重要作品,但是大家可曾知道,那个时候她把整个研究结果都毫无保留的奉献给了国家,完全没有一丝一毫的保留,她的愿望就是更多的人参与进来,说不定有水平更高的人能把这个青蒿做出来。

“青蒿素不是我屠呦呦的,是属于国家和人民的。”老一辈科学家的品质是我们非常敬仰的,那种无私那种精神令我们非常感动!她只要取得任何成绩,马上就向全国汇报,自始至终都怀着一颗非常广阔的胸怀,而真正让我们震撼的是下面要说的事情。
03.以身试药
当时的青蒿素虽然有效,但是动物实验中出现了很大的问题,就是毒副作用!这个就大大阻碍了这个药物的推广,现在摆在面前的问题严重:
1、对动物有毒副作用,对人体有多少毒副作用?
2、到底多少剂量才是安全的?
谁都不知道!因为没有人体试验,也很难做人体试验,况且疟疾的发病有时间规律,夏季7~10月份是高发季节,到了冬天就少很多了,蚊子都死了想得病都困难。
得病?是的,你或许已经猜到了,很多老一辈科学家,在当时临床试验条件极为艰苦的情况下,很多伟大的科学家都会用生命选择一种方式:以身试药!!!

我们以前写过很多科学家,比如糖丸爷爷也是以身试药,我们实在没想到屠呦呦奶奶当年为了测试青蒿素的毒副作用,也毅然和2位同事一起,亲自试验青蒿素的毒副作用!

她们住进了北京东直门医院,在还不确定疗效的情况下,自己拼死去为我们试药!!!所幸青蒿素并没有显示出人体的毒副作用,随后更大的临床试验开展,在海南开展后遇到困难,她发挥才智,把片剂改成了胶囊取得了巨大的成功。
此后,青蒿素正式走向临床,她也获得了国家级的发明奖章。

随即,青蒿素更是被推广到世界,因为青蒿素的造价极为低廉,这对全世界的推广起到了非常大的作用,用低廉随处可见的中国植物做出的药物一个疗程才几美元而已。
2001年更是被世卫组织推广到全世界,成为了疟疾的首选药,拯救了无数的疟疾患者!

就是屠奶奶的青蒿素拯救了数以百万计的疟疾患者,她在2015年获得了诺贝尔生物学和医学奖。
中国的科学家得到了全世界的认可和尊敬!

04.攻克世界难题:青蒿素耐药性
而事实上,她并没有停止研究的脚步,在她的推动下,中国传统医学在现代化科技的帮助下得到了全新的应用。
成立了青蒿素的研究中心,很多地区也相继用实验室等科学手段全面继承和发扬了中国传统医学。
从某种意义上说,屠奶奶不仅仅是发明了青蒿素,更是把中国传统医学用现代科学手段继续发扬光大。
而且更加难能可贵的是,她并没有躺在巨大的荣誉上止步不前,她2015年获得诺比尔奖,屠奶奶1930年生人,她如今已经89岁高龄了,但是她依然没有停止研究。

她时刻关注着青蒿素对于疟疾的治疗进程,在我们都在为她喝彩的时候她却已经在着手进行青蒿素的耐药研究,没错,和当年的奎宁一样,疟原虫实在太过狡猾!
青蒿素在人体内半衰期(药物在生物体内浓度下降一半所需时间)很短,仅1至2小时,而临床推荐采用的青蒿素联合疗法疗程为三天,青蒿素真正高效的杀虫窗口只有有限的4至 8小时。而现有的耐药虫株充分利用青蒿素半衰期短的特性,改变生活周期或暂时进入休眠状态,以规避敏感杀虫期。

青蒿素联合疗法是目前世卫组织大力推广的一线抗疟疗法,是当前全球抗疟的最重要武器。一旦疟原虫普遍对其产生抗药性,后果将十分严重,全世界科学家都非常担心“青蒿素抗药性”进一步恶化。眼看着几十年研究的成果慢慢的失去效能,屠奶奶以接近90岁的高龄再次扛起了青蒿素耐药性研究的大旗!
05.突破!用青蒿素治疗红斑狼疮
如果光是疟疾抗药性还不够!屠奶奶甚至利用青蒿素开始治疗困扰很多人一辈子,让很多人生不如死的一种“不是绝症的绝症”:红斑狼疮!
红斑狼疮早到现在为止尚无特效药可以治疗。一旦发作起来真的生不如死,发热、关节痛、肌肉痛、面部蝶形红斑、口腔溃疡……而且这个是属于系统免疫性疾病,很多都来自遗传,想挡都挡不住。

全世界其实对红斑狼疮都是保守治疗,即使最新的SLE治疗法也不一定适用于每个人,而且价格不菲,不是所有人都治疗的起,划时代的网络鼻祖小说痞子蔡写的《第一次的亲密接触》中女主“轻舞飞扬”得的就是这个病。

实在没想到,屠奶奶竟然利用青蒿素治疗了这个病!
根据屠呦呦团队前期临床观察,青蒿素对盘状红斑狼疮、系统性红斑狼疮的治疗有效率分别超90%、80%,世卫组织全球项目主任佩德罗·阿隆索肯定了这种可能。
注意!这已经到了临床试验阶段!不是纸上谈兵!
该临床试验一期于2018年5月正式启动,设计样本共120例,由北京协和医院、北京大学第一医院、内蒙古医科大学附属医院、新疆维吾尔自治区人民医院、安徽医科大学第一附属医院、山东大学齐鲁医院等全国15家牵头单位共同参与开展。
目前效果良好!屠呦呦说:“青蒿素对治疗红斑狼疮存在有效性趋势,我们对试验成功持谨慎的乐观。”
不仅疟疾耐药的患者有希望,红斑狼疮的病人也有了新的希望!
这才是热搜!
今天,我们写下屠奶奶的故事,也许,还是上不了热搜。正是有这样千千万万“上不了热搜”的科学家在默默无闻的努力才有了我们越来越好的生活。我们不能把这些科学家们遗忘!
感谢你们,默默无闻的科学家们!
感谢你,屠奶奶!
这样的女神,值得你转发。
告诉孩子,这才是你该追的明星。